Maseru, Mar. 07 — With Scabies, an infestation of the skin by the human itch mite outbreak in some of the schools in the country, Maseru District Health Management Team (DHMT) has warned against poor hygiene.
St. Thomas High school in Mafeteng district reported an outbreak of Scabies which led to the school temporarily closing earlier last month while Motsekuoa High School students still in Mafeteng district reported an outbreak of Chicken Pox on Monday this week.
DHMT Public Health Nurse, Mrs. ‘Matumello Mokuku said that Maseru district had reports from Marakabei High School last month (February) saying to date that has been the only school with Scabies report.
She said that a common cause of Scabies is poor personal hygiene and uncleanliness saying that it is schools which have boarding that could be because of congestion in rooms that result in such rooms not being properly cleaned.
She said that even in schools without boarding there could be cases saying that even in households there could be an outbreak of Scabies as long people do not practice proper personal hygiene and cleanliness.
On the other hand, in a brief interview on Thursday Motsekuoa High School Principal, Mr. Simon Matšela confirmed that there was an outbreak of Chicken Pox on Monday this week but stated that it has subsided as students are now back in school after taking treatment.
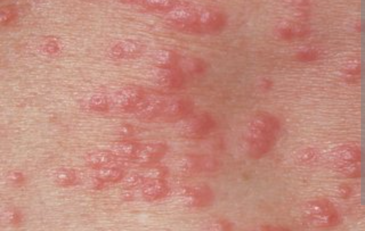
Meanwhile, Scabies is an infestation of the skin by the human itch mite (Sarcoptes scabiei var. hominis). The microscopic scabies mite burrows into the upper layer of the skin where it lives and lays its eggs. The most common symptoms of scabies are intense itching and a pimple-like skin rash.
Scabies can lead to skin sores and serious complications like septicaemia (a bloodstream infection), heart disease and kidney problems. It is treated using creams or oral medications.
Scabies is contagious and spreads through skin-to-skin contact. It occurs worldwide but is most common in low-income tropical areas. Children and older people in resource-poor areas are at higher risk.
